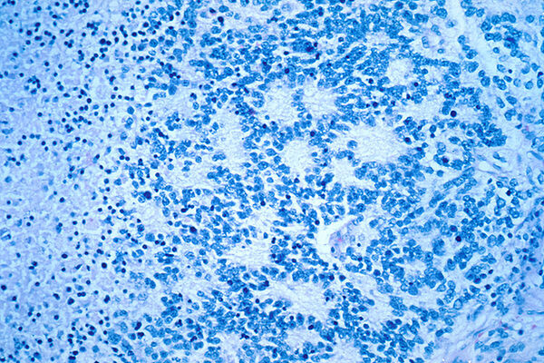
Cancers that develop in Children - Neuroblastoma
Neuroblastoma is a type of cancer that forms in certain types of nerve tissue.It most frequently starts from one of the adrenal glands, but can also develop in the neck, chest, abdomen, or spine. Symptoms may include bone pain, a lump in the abdomen, neck, or chest, or a painless bluish lump under the skin.
Treatments may include observation, surgery, radiation, chemotherapy, or stem cell transplantation. Low-risk disease in babies typically has a good outcome with surgery or simply observation. In high-risk disease, chances of long-term survival, however, are less than 40% despite aggressive treatment.
Neuroblastoma is the most common cancer in babies and the third-most common cancer in children after leukemia and brain cancer. About one in every 7,000 children is affected at some time. About 90% of cases occur in children less than 5 years old and it is rare in adults. Of cancer deaths in children, about 15% are due to neuroblastoma. The disease was first described in the 1800s.
