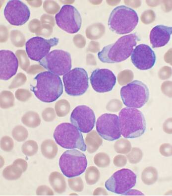
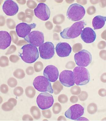
Cancers that develop in children - Leukemia
Leukemias, which are cancers of the bone marrow and blood, are the most common childhood cancers. They account for about 30% of all cancers in children. The most common types in children are acute lymphocytic leukemia (ALL) and acute myelogenous leukemia (AML). These leukemias can cause bone and joint pain, fatigue, weakness, pale skin, bleeding or bruising, fever, weight loss, and other symptoms. Acute leukemias can grow quickly, so they need to be treated (typically with chemotherapy) as soon as they are found.
