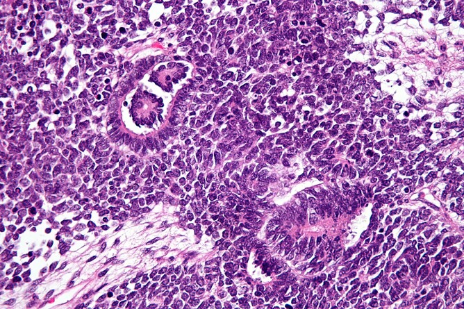
Wilms Tumor
Wilms tumor (also called nephroblastoma) starts in one, or rarely, both kidneys. It is most often found in children about 3 to 4 years old, and is uncommon in children older than age 6. It can show up as a swelling or lump in the belly (abdomen). Sometimes the child might have other symptoms, like fever, pain, nausea, or poor appetite. Wilms tumor accounts for about 5% of childhood cancers.
