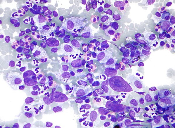
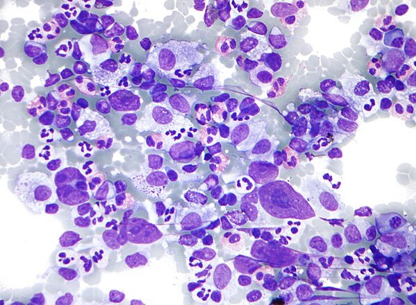
Hodgkin's Lymphoma
Hodgkin lymphoma accounts for about 3% of childhood cancers. It is more common, though, in early adulthood (age 15 to 40, usually people in their 20s) and late adulthood (after age 55). Hodgkin lymphoma is rare in children younger than 5 years of age. This type of cancer is very similar in children and adults, including which types of treatment work best.
Hodgkin lymphoma may be treated with chemotherapy, radiation therapy, and stem cell transplant
