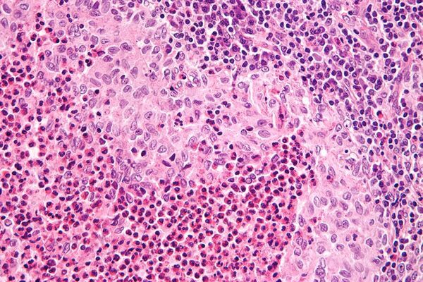
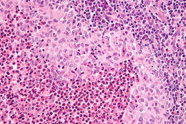
Langerhans Cell Histiocytosis (LCH)
Langerhans cell histiocytosis is a type of cancer that can damage tissue or cause lesions to form in one or more places in the body.
LCH can be found in the skin and nails, mouth, bone, lymph nodes and thymus, endocrine system, eye, central nervous system, liver and spleen, lung and bone marrow.
Tests that examine the organs and body systems where LCH may occur are used to detect (find) and diagnose LCH.
LCH may occur at any age, but is most common in young children. Treatment of LCH in children is different from treatment of LCH in adults.
